"Empowering Your
Smile with
Expert Dental Care"

"Dental Esthetix, led by renowned dental expert Dr. Hemant Israni, is a state-of-the-art multi-specialty dental clinic located in Surya Nagar, Ghaziabad. With over 20 years of expertise, we are committed to delivering exceptional dental care, ensuring healthy and beautiful smiles for our patients. Our clinic specializes in a wide range of treatments, including Full Mouth X-Rays (OPG), Digital Dental X-Rays, Teeth Scaling & Whitening, Root Canal Therapy, Orthodontic Braces, Cosmetic Dentistry, and Jaw Fracture Treatment. At Dental Esthetix, we prioritize patient comfort and use advanced technology to provide pain-free, precise, and long-lasting dental solutions. We also offer expert guidance through personalized consultations, educational blogs, and informative YouTube videos. Whether you're looking for preventive dental care, smile enhancement, or emergency treatments, Dental Esthetix in Surya Nagar, Ghaziabad, is your trusted partner for superior oral health. Book your appointment today and take the first step towards a confident, radiant smile!"

Dr. Hemant Israni- Best Dentist in Surya Nagar, Ghaziabad

Explore with me

Our Dental Services

Full Mouth X-Ray in Surya Nagar, Ghaiabad Advanced OPG Scan in Surya Nagar, Ghaiabad OPG X-Ray in Surya Nagar, Ghaiabad
Full Mouth X-Ray (OPG)

Our advanced OPG X-ray provides a panoramic view of your entire jaw, helping in the accurate diagnosis of dental conditions. Essential for orthodontic planning, implant placement, and detecting hidden oral health issues.

Read More
Full Mouth X-Ray (OPG) - Accurate Dental Diagnosis Advanced OPG Scan - Detect Dental Issues Efficiently OPG X-Ray - Essential for Comprehensive Oral Health
Dental X-Ray

High-resolution digital dental X-rays ensure precise detection of cavities, infections, and bone loss. Safe, quick, and effective, they help in early diagnosis for better treatment outcomes.

Read More
Full Mouth X-Ray (OPG) - Accurate Dental Diagnosis Advanced OPG Scan - Detect Dental Issues Efficiently OPG X-Ray - Essential for Comprehensive Oral Health
Implants

Restore your smile with durable and natural-looking dental implants. A permanent solution for missing teeth, implants improve chewing efficiency and preserve jawbone health.

Read More
Full Mouth X-Ray (OPG) - Accurate Dental Diagnosis Advanced OPG Scan - Detect Dental Issues Efficiently OPG X-Ray - Essential for Comprehensive Oral Health
Root Canal treatment

Save your natural tooth with a painless root canal treatment. Ideal for treating deep cavities and infections, ensuring long-term dental health and pain relief.

Read More
Full Mouth X-Ray (OPG) - Accurate Dental Diagnosis Advanced OPG Scan - Detect Dental Issues Efficiently OPG X-Ray - Essential for Comprehensive Oral Health
Veneers

Achieve a flawless smile with customized dental veneers. Designed to correct discoloration, gaps, and minor misalignments, providing a long-lasting aesthetic enhancement.

Read More
Full Mouth X-Ray (OPG) - Accurate Dental Diagnosis Advanced OPG Scan - Detect Dental Issues Efficiently OPG X-Ray - Essential for Comprehensive Oral Health
Cosmetic Feelings

Enhance your smile with tooth-colored cosmetic fillings. Perfect for repairing cavities and minor fractures, ensuring a natural look and long-lasting strength.

Read More
Full Mouth X-Ray (OPG) - Accurate Dental Diagnosis Advanced OPG Scan - Detect Dental Issues Efficiently OPG X-Ray - Essential for Comprehensive Oral Health
Dentures

Comfortable and natural-looking dentures restore your ability to eat and speak with ease. Custom-made to fit perfectly, they are an excellent solution for missing teeth.

Read More
Full Mouth X-Ray (OPG) - Accurate Dental Diagnosis Advanced OPG Scan - Detect Dental Issues Efficiently OPG X-Ray - Essential for Comprehensive Oral Health
Tooth Extraction/ Impaction

Safe and painless tooth extraction for damaged or decayed teeth. Our expert dentists ensure a smooth recovery with minimal discomfort.

Read More
Full Mouth X-Ray (OPG) - Accurate Dental Diagnosis Advanced OPG Scan - Detect Dental Issues Efficiently OPG X-Ray - Essential for Comprehensive Oral Health
Scaling

Maintain optimal oral health with professional teeth scaling. Removes plaque, tartar, and stains, preventing gum disease and bad breath.

Read More
Full Mouth X-Ray (OPG) - Accurate Dental Diagnosis Advanced OPG Scan - Detect Dental Issues Efficiently OPG X-Ray - Essential for Comprehensive Oral Health
Orthodontic treatment

Straighten your teeth with braces or clear aligners. Improves bite alignment and enhances aesthetics for a perfectly aligned smile.

Read More
Full Mouth X-Ray (OPG) - Accurate Dental Diagnosis Advanced OPG Scan - Detect Dental Issues Efficiently OPG X-Ray - Essential for Comprehensive Oral Health
Jaw Fracture Treatment

Specialized care for jaw fractures and trauma. Our advanced treatment techniques ensure proper healing and restoration of jaw function.

Read More
Full Mouth X-Ray (OPG) - Accurate Dental Diagnosis Advanced OPG Scan - Detect Dental Issues Efficiently OPG X-Ray - Essential for Comprehensive Oral Health
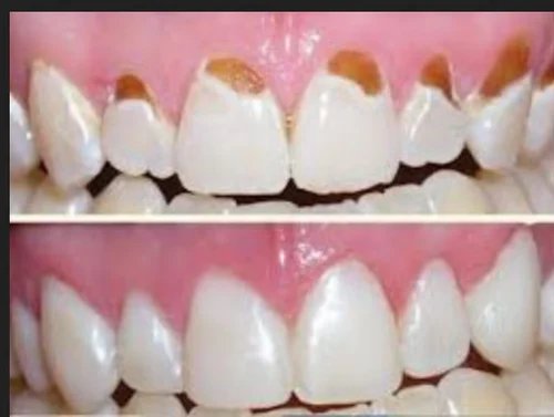
Bleaching

Brighten your smile with advanced teeth whitening treatments. Removes stains and discoloration, giving you a confident and radiant smile.

Read More

Why Choose Dental Esthetix?

At Dental Esthetix, we are committed to providing exceptional dental care with a focus on precision, comfort, and long-term oral health. Our expert team of dentists in Surya Nagar, Ghaziabad, uses state-of-the-art technology to deliver top-tier dental solutions. Whether you need preventive care, cosmetic enhancements, or advanced dental treatments, we ensure a pain-free and personalized experience. Here’s why we are the preferred choice for your dental health:

Experienced & Qualified Dentists
Experienced & Qualified Dental team

With over 20 years of expertise, our skilled dental professionals offer precise diagnosis and treatment, ensuring the best care for your oral health.

Read More
State-of-the-Art Technology
State-of-the-Art Technology

We utilize advanced equipment such as digital X-rays, OPG scans, laser dentistry, and 3D imaging for accurate and minimally invasive treatments.

Read More
Pain-Free & Comfortable Procedures
Pain-Free & Comfortable Procedures

We prioritize patient comfort by offering painless treatments with the latest sedation and anesthesia techniques.

Read More
Personalized Dental Care Plans
Personalized Dental Care Plans

Our treatments are tailored to meet your unique oral health needs, ensuring the best possible results.

Read More
Strict Hygiene & Sterilization
Strict Hygiene & Sterilization

We follow international sterilization protocols to ensure a safe and infection-free environment.

Read More
Personalized Dental Care Plans
Customized Treatment Plans

We provide personalized dental solutions based on individual needs, ensuring optimal results and long-term oral health.

Read More
Personalized Dental Care Plans
Affordable & Transparent Pricing

Quality dental care should be accessible to everyone. We offer cost-effective treatments with no hidden charges and flexible payment options.

Read More
Personalized Dental Care Plans
Patient-Centered Approach

Our friendly staff ensures a stress-free experience, guiding you through every step of your treatment while prioritizing your comfort and satisfaction.

Read More

Our Latest Videos

No latest videos found.

Latest Blog Posts

Expert Jaw Fracture Treatment in Ghaziabad — Dental Esthetix
Expert Jaw Fracture Treatment in Ghaziabad — Dental Esthetix

A jaw fracture isn’t just painful—it can be life-altering if not treated properly. From difficul...

July 22, 2025, 11:39 am

Read More
Finding the Best Dentist in Surya Nagar, Ghaziabad: Your Smile Deserves the Best
Finding the Best Dentist in Surya Nagar, Ghaziabad: Your Smile Deserves the Best

If you’re searching for the best dentist in Surya Nagar, Ghaziabad, chances are you care deeply ab...

July 11, 2025, 9:36 am

Read More
Saving Smiles, One Root Canal at a Time – DentalEsthetix, Ghaziabad
Saving Smiles, One Root Canal at a Time – DentalEsthetix, Ghaziabad

When it comes to toothaches that just won’t quit, there’s often one lifesaving solution behind t...

June 16, 2025, 9:32 am

Read More

What Our Patients Say

Contact Information

Dental Esthetix - Dr Hemant Israni

Address: B-164, Rampuri, Block B, Surya Nagar, Ghaziabad, Uttar Pradesh 201011

Phone: +91 9971471616

Email: dr.hemant@dentalesthetix.org

Our Location
WhatsApp Chat